Viêm nướu răng hàm là bệnh gì? Điều trị được không?
Viêm nướu răng hàm là bệnh gì? Vì nhiều nguyên nhân gây ra mà người bệnh dễ mắc bệnh viêm nướu. Bệnh này nếu không sớm được điều trị kịp thời có thể gây nên những biến chứng ảnh hưởng đến sức khỏe răng miệng. Vậy điều trị bằng phương pháp nào hiệu quả?
Viêm nướu răng hàm là bệnh gì?
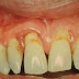
Viêm nướu răng hàm hay còn gọi là sưng nướu răng, là giai đoạn đầu của bệnh nướu. Đây là bệnh lý răng miệng phổ biến ở nhiều người, mọi lứa tuổi, mức độ từ nhẹ đến nặng. Khi bị viêm nướu răng, nướu sẽ bị sưng đỏ, hoặc phồng rộp lên, gây đau nhức. Nướu bị viêm nhiễm rất dễ bị kích thích làm chảy máu nướu răng, miệng có mùi hôi.

Viêm nướu răng hàm*
Khi tình trạng trở nặng nướu sẽ sưng tấy, tách khỏi chân răng, làm răng bị lung lay, dễ bị tồn đọng thức ăn gây viêm nhiễm, hình thành túi mủ giữa nướu và răng. Viêm nướu không được điều trị kịp thời sẽ phát triển thành bệnh nha chu. Có nhiều loại nha chu và ảnh hưởng đến rất nhiều đến nhiều hệ thống xương nâng đỡ răng. Khi bệnh trở nên, xương trong xương hàm bị mất, làm răng bị lung lay phải nhổ răng.
Nguyên nhân gây bệnh viêm nướu răng hàm
Cao răng, mảng bám chứa vi khuẩn là nguyên nhân hàng đầu gây ra viêm nướu răng hàm. Mà nguyên căn của tình trạng này chính là do việc vệ sinh răng miệng kém. Sau khi ăn, thức ăn còn sót lại trên kẽ răng, dưới nướu nếu không được làm sạch thì lâu ngày, mảng bám sẽ bị vôi hóa thành cao răng, chứa vi khuẩn.
Vi khuẩn trong cao răng sẽ âm thầm tấn công nướu răng trong thời gian dài mà bệnh nhân không hề hay biết. Cho đến khi hệ miễn dịch suy yếu, kích thích vi khuẩn sản sinh độc tố khiến nướu bị viêm nhiễm, sưng đau và gây bệnh viêm nướu răng.
Ngoài ra, viêm nướu còn có thể do thói quen hút thuốc lá, thay đổi nội tiết tố ở phụ nữ mang thai hoặc do các bệnh lý cơ thể khác. Miệng khô, giảm tiết nước bọt cũng tạo điều kiện để vi khuẩn phát triển gây ra căn bệnh này.
Chữa trị viêm nướu răng hàm như thế nào?
Viêm nướu răng hàm không được điều trị kịp thời sẽ phát triển thành viêm nha chu nguy hiểm. Tuy nhiên, cũng có một vài loại vi khuẩn hoạt động mạnh hơn, gây áp xe răng, xuất hiện các túi mủ quanh chân răng. Qua nhiều năm, xương nâng chân mày đỡ răng có thể bị mất và ảnh hưởng đến việc điều trị sau này.

Viêm nướu răng hàm điều trị thế nào*
Dưới đây sẽ là một số cách điều trị viêm nướu răng hàm đơn giản mà bạn có thể áp dụng để cải thiện tình trạng của mình:
- Vệ sinh răng miệng: chải răng đúng cách, sử dụng chỉ nha khoa để làm sạch kẽ răng, súc miệng bằng nước muối nhiều lần trong ngày để giúp giảm đau, giảm sưng và cải thiện bệnh viêm nướu.
- Điều trị tạm thời tại nhà: hãy áp dụng một số mẹo chữa viêm nướu, giảm đau tại nhà với nước trà xanh, đắp tỏi nghiền nát với muối hạt hoặc bôi nước cốt chanh với muối lên vị trí nướu bị viêm.
Với những thông tin mà chúng tôi chia sẻ trên đây về bệnh viêm nướu răng hàm. Mong rằng đã giúp bạn có thêm nhiều kiến thức cùng thông tin hữu ích cho việc chăm sóc và bảo vệ sức khỏe răng miệng tốt hơn.
Viêm nướu răng hàm là bệnh gì? Điều trị được không?
Reviewed by Tẩy trắng răng
on
14 tháng 8
Rating:
